-
Über Fehlstellungen
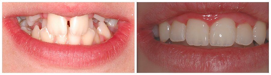
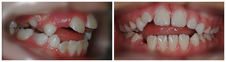
Fehlstellungen haben eine ausgeprägte ästhetische Auswirkung, da Zähne und Kiefer das Profil eines Menschen sowie die Mimik und die Ausdruckskraft des Gesichtes wesentlich bestimmen. Allerdings stellen sie auch ein sogenanntes funktionelles Problem dar, da die optimale Stellung der Zähne im Ober- und Unterkiefer zueinander nicht gegeben ist. Dies kann die Dynamik nachhaltig stören und zu Parodontien (Zahnfleischerkrankungen), Attritionen (übermäßiger Abnutzung der Zähne) und craniomandibulärer Dysfunktion (Kiefergelenksproblemen) führen.
Wir unterscheiden zwischen Zahn- und Kieferfehlstellungen. Beides ist häufig miteinander kombiniert. Eine Zahnfehlstellung liegt dann vor, wenn einer oder mehrere Zähne außerhalb der idealen Zahnbogenform des Ober- oder Unterkiefers stehen. Bei Kieferfehlstellungen ist das funktionell richtige Zusammenspiel der Zähne durch eine Abweichung der Ober- und Unterkiefer gestört.
-
Ursachen von Fehlstellungen
Bei den Ursachen von Fehlstellungen spielen neben erblichen, also angeborenen, auch erworbene und funktionelle Faktoren eine erhebliche, häufig unterschätzte Rolle. Besonders eine behinderte Nasenatmung, oft durch Allergien oder chronischen Schnupfen hervorgerufen, führt durch die dadurch notwendige Mundatmung zu schmalem Oberkiefer mit Platzmangel und Kreuzbiss.
Ein weiterer Faktor ist die heute übliche weiche Kost, die die Ausbildung der Kaumuskulatur der Kieferknochen beeinträchtigt. In relevanten Fällen erfolgt die Zusammenarbeit mit HNO-Ärzten und Logopäden, damit aufgrund der Diagnosen die dementsprechenden Therapien angesetzt werden können.
-
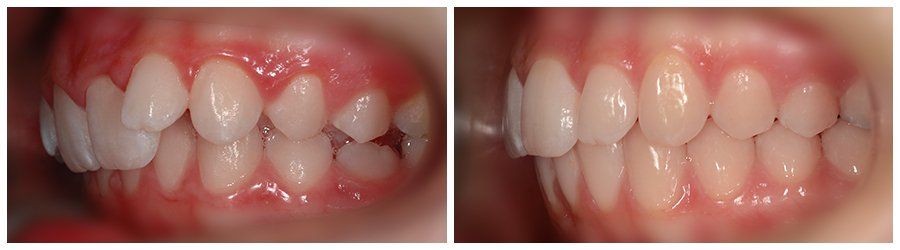
Klasse II/1 - Distalbiss
Vergrößerter Überbiss mit vorstehenden Schneidezähnen, Gefahr der Zahnverletzung, Kau- und Abbeißprobleme, Parodontalprobleme durch Tiefbiss, Kiefergelenksprobleme.
-
Ursache
Meistens skelettale Rücklage des Unterkiefers, selten skelettale Vorverlagerung des Oberkiefers.
-
Therapie
Bei schweren Formen ist eine Frühbehandlung mit abnehmbaren Geräten empfehlenswert. Weiters ist die Behandlung mit dem Herbstscharnier und ähnlichen sogenannten non-compliance Klasse II Geräten in den meisten Fällen bis ins frühe Erwachsenenalter möglich. Bei gleichzeitigem Vorliegen von Kiefergelenksproblemen MEAW-Therapie nach Sato.
Wachstumssteuernd wurde früher häufig ein Head-Gear eingesetzt, dieser wird von uns heute kaum mehr verwendet.
In bestimmten Fällen kann die Entfernung von Zähnen im Oberkiefer bzw. die Distalisierung von Zähnen zum Erfolg führen. In schweren Fällen bei Erwachsenen muss eine kombinierte kieferorthopädisch-kieferchirurgische Therapie durchgeführt werden. Oft kann jedoch, durch eine Behandlung in der Zeit des stärksten Wachstums (ungefähr zwischen dem 7. Lebensjahr und der Pubertät) ein chirurgischer Eingriff vermieden werden.
-
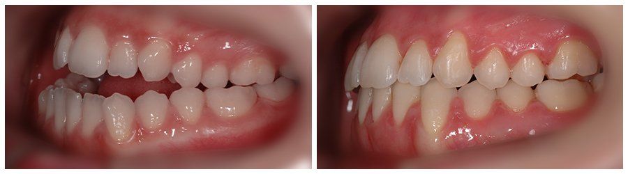
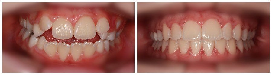
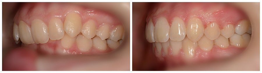
Klasse II/2 - Deckbiss
Vergrößerter Überbiss mit vorstehenden Schneidezähnen, Gefahr der Zahnverletzung, Kau- und Abbeißprobleme, Parodontalprobleme durch Tiefbiss, Kiefergelenksprobleme.
-
Ursache
Steilstehende obere Frontzähne mit Engstand. Häufig entstehen Parodontalprobleme durch Tiefbiss. Es kommt zu starker Abnützung der Zähne. Besonders häufiges Auftreten von Kiefergelenksproblemen. Sehr steile Gelenksbahn.
-
Therapie
Bei schweren Formen ist eine Frühbehandlung mit abnehmbaren Geräten empfehlenswert. Weiters ist die Behandlung mit dem Herbstscharnier und ähnlichen Geräten in den meisten Fällen bis ins frühe Erwachsenenalter möglich. Bei gleichzeitigem Vorliegen von Kiefergelenksproblemen kommt die MEAW-Therapie nach Sato zum Einsatz. In bestimmten Fällen kann die Entfernung von Zähnen im Oberkiefer bzw. die Distalisierung von Zähnen zum Erfolg führen.
In schweren Fällen bei Erwachsenen muss eine kombinierte kieferorthopädisch-kieferchirurgische Therapie durchgeführt werden. Oft kann jedoch durch eine Behandlung in der Zeit des stärksten Wachstums (ungefähr zwischen dem 7. Lebensjahr und der Pubertät) ein chirurgischer Eingriff vermieden werden.
-
Klasse III
Verkehrter Überbiss der Frontzähne, Kau- und Abbeißprobleme, Kiefergelenksprobleme, Funktionsstörung mit verstärkter Abnützung der Zähne.
-
Ursache
Unterentwicklung des Oberkiefers und/oder Überentwicklung des Unterkiefers. Starke erbliche Komponente.
-
Therapie
In der Frühphase bei Vorliegen eines frontalen Zwangsbisses Beseitigung mittels „Schiefer Ebene“. Delaire-Maske zur Oberkiefervorverlagerung, vertikale Kompensation.
Nach Ende des Wechselgebisses MEAW-Therapie nach Sato.
In extremen Fällen kombinierte kieferorthopädisch-kieferchirurgische Therapie.
-
Offener Biss
Störungen der Aussprache, Kau- und Abbeißprobleme, Kiefergelenksbeschwerden. Es ist nicht möglich, die Zähne in Kontakt zu bringen. Der Biss kann seitlich, frontal offen oder kombiniert offen sein.
-
Ursache
Daumenlutschen, lange Schnullerverwendung, Zungenfehlfunktionen, Mundatmung, myofunktionelle Störungen.
Die schwersten Formen haben skelettale Ursachen.
-
Therapie
MEAW Therapie nach Sato, alternativ kombiniert mit Kieferchirurgie, nach Bedarf begleitend HNO-ärztliche und logopädische Behandlung.
-
Tiefbiss
Die Oberkieferzähne überdecken die unteren Zähne zu stark. Dies führt zum Einbeissen in die Gaumenschleimhaut, welches zu parodontalen Schäden meist im Bereich der oberen Frontzähne führt. Starke Abnützung des Zahnschmelzes und Kiefergelenksbeschwerden sind häufig die Folge.
-
Ursache
Genetisch durch ein bestimmtes skelettales Wachstumsmuster. Durch verstärkte Aktivität der Kaumuskulatur.
Verlust der seitlichen Abstützung durch Zahnverlust.
-
Therapie
Bisshebung mittels Kieferorthopädie
-
Kreuzbiss
Verschiedene Varianten: seitlicher oder frontaler (auch kombiniert) verkehrter Überbiss der Zähne.
Beim einseitigen seitlichen Kreuzbiss kommt es zu einem asymmetrischen Unterkieferwachstum, folglich entsteht eine Gesichtsasymmetrie und häufig Kiefergelenksprobleme. Der frontale Kreuzbiss führt häufig zu Parodontalschäden.
-
Ursache
Die Ursache liegt meist in einer mangelnden Breitenentwicklung des Oberkiefers durch behinderte Nasenatmung und häufig auch in myofunktionellen Störungen. Beim frontalen Kreuzbiss liegt der Grund oft in einem verstärkten Unterkieferwachstum.
-
Therapie
Hier besteht meist eine Indikation zur Frühbehandlung, um skelettale Asymmetrien oder Kieferfehlstellungen beseitigen zu können, während der Patient/die Patientin stark wächst. Weiters ist häufig eine HNO-ärztliche und logopädische Therapie hilfreich.
-
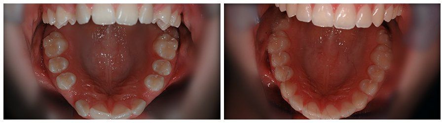
Engstand
Durch die verschachtelten, rotierten oder leicht verlagerten Zähne ist die Reinigung erheblich erschwert,
was meist zu Karies, Parodontalschäden und gestörter Kaufunktion führt.
-
Ursache
Platzmangel ist bedingt durch Diskrepanz zwischen Zahngröße und Größe der Kieferbasen. Häufig finden die bleibenden Zähne auch durch vorzeitigen Milchzahnverlust bei ihrem Durchbruch nicht mehr genügend Platz vor. Auch die heute übliche weiche Nahrung führt zu einer Zunahme dieses Problems, da die Muskulatur und die Kieferknochen keinen entsprechenden Entwicklungsreiz erfahren.
-
Therapie
Dehnung des Oberkiefers, Erweiterung der Zahnbögen, Aufrichten, Ausrotieren von Zähnen und Öffnen von Lücken, um den Durchbruch bleibender Zähne zu ermöglichen. Sobald ein Kind Zähne hat, sollten ihm nicht mehr ausschließlich breiige und flüssige Nahrungsmittel angeboten werden.
Im äußersten Fall kann auch die Entfernung von Zähnen erfolgen. Dies sollte möglichst nicht vor dem Wachstumsende durchgeführt werden, da die endgültige Kiefergröße noch nicht abgeschätzt werden kann.
Auch anfangs schwere Engstände lassen sich mit dem Wachstum durch kieferorthopädische Maßnahmen weitgehend auflösen. Dabei ist oft ein Beginn im Wechselgebiss (Milchzähne fallen aus, bleibende Zähne rücken nach) sinnvoll. Falls Milchzähne frühzeitig verloren gehen (oder gezogen wurden), sollte überprüft werden, ob ein Platzhalter eingesetzt werden muss.
-
Lücken
Lücken können zu Störungen der Aussprache und einem ungünstigen ästhetischen Erscheinungsbild führen.
-
Ursache
Lücken entstehen einerseits durch ein Missverhältnis zwischen der Größe der Zähne und den Kieferbasen und andererseits durch nicht angelegte Zähne, eine überzählige Zahnanlage (Mesiodens) oder ein zu stark ausgeprägtes Lippenbändchen.
Lücken können ebenso als Folge von Erkrankungen des Zahnhalteapparates (Parodontalerkrankungen) erworben sein, aber auch dem Verlust von Zähnen durch z. B. Karies.
-
Therapie
Lückenschluss, falls nötig, vorherige Beseitigung der ursächlichen Parodontalerkrankung, gegebenenfalls Verbreiterung von Zähnen nach der Kieferorthopädie, wenn eine Zahngrößendiskrepanz vorliegt.
Zu einer frühzeitigen Durchtrennung eines stark ausgeprägten Lippenbändchens kann nur in seltenen Ausnahmefällen geraten werden.
-
Myofunktionelle Störungen
Eine myofunktionelle Störung im Gesichtsbereich ist durch ein muskuläres Ungleichgewicht vor allem der Zungen- und Lippenmuskulatur, aber auch der Gesichtsmuskulatur gekennzeichnet.
-
Ursache
Hinweis auf eine myofunktionelle Störung kann ein unvollständiger Lippenschluss sein, Probleme in der korrekten Aussprache bestimmter Laute - häufig s, z, sch und ts.
Vermehrte Mundatmung bei leicht geöffnetem Mund, dabei ist häufig eine große und eher schlaffe Zunge auffällig.
-
Therapie
Kombination von kieferorthopädischer Behandlung und myofunktioneller Therapie, durch enge Zusammenarbeit des Kieferorthopäden mit dem/der Logopäden/in.
-
Retinierte Zähne
Darunter versteht man Zähne, die nicht in die Mundhöhle durchbrechen sondern im Kieferknochen stecken bleiben.
-
Ursache
Entstehen, wenn bleibende Zähne den korrespondierenden Milchzahn nicht auflösen, weiters durch Platzmangel oder sogenannter Keimverlagerung.
-
Therapie
Mit Hilfe eines Goldkettchens, das auf den retinierten Zahn aufgeklebt wird und einer Zahnspange können diese Zähne in fast allen Fällen, selbst bei älteren Erwachsenen, eingeordnet werden.
Wenn solche Zähne nicht eingeordnet bzw. durch eine Operation entfernt werden, besteht die Gefahr, dass sich eine sogenannte follikuläre Zyste bildet, die den umliegenden Knochen verdrängt. Wenn dies unbemerkt bleibt, können im schlimmsten Fall mehrere Zähne verloren gehen und in der Folge große Operationen nötig werden.
-
Habits - Orale Angewohnheiten
Lücken können zu Störungen der Aussprache und einem ungünstigen ästhetischen Erscheinungsbild führen.
-
Mögliche Ursachen des Daumenlutschens
- zu rasche Umstellung von der Mutterbrust auf Flaschennahrung
- zu geringe Anstrengung beim Saugen durch zu großes Saugloch der Babyflasche
- Mahlzeiten nach festgelegtem Zeitplan – das Warten auf die Mutterbrust oder Flascherl wird durch das Lutschen am Daumen überbrückt.
- wenn durchbrechende Zähne schmerzen
- Verstärkung oder Wiederaufnahme des Lutschens nach der Geburt eines Geschwisterchens
- Mehrlingsgeburten
- Kinder, deren gefühlsmäßige Bedürfnisse zu wenig befriedigt werden
-
Die Folgen der Lutschgewohnheiten sind vielfältig
- Solange der Daumen im Mund ist, kann das Kind nicht richtig schlucken
- Daumenlutschen kann die Entwicklung von Mund und Gaumen beeinträchtigen, die Kiefer verformen und/oder Zahnfehlstellungen verursachen.
- Richtige Zungenbewegungen können schwer erworben werden und dies kann zu fehlerhaften Lautbildungen führen.
- Daumenlutschen vor anderen beeinträchtigt die soziale Akzeptanz.
- Auch Krankheitskeime können übertragen werden.
Die Eltern sind beim Abgewöhnen des Lutschens ein unterstützender Partner des Kindes, der den positiven Eigenschaften besondere Beachtung schenkt und dem Kind besondere Liebe und Zuwendung zukommen lässt. Das Kind muss es fertigbringen, die Angewohnheit zu beenden, dafür aber alle Unterstützung und Anerkennung erfahren.


















